See more:
Saturday, December 12, 2020
Early-gestation-with-ovarian-cyst
A gestation sac measuring less than 5 weeks. But complicated with a pair of right ovarian cysts. Also a collection of free fluid in the cul de sac. Possibly the result of rupture of a mature follicle.
Sunday, December 6, 2020
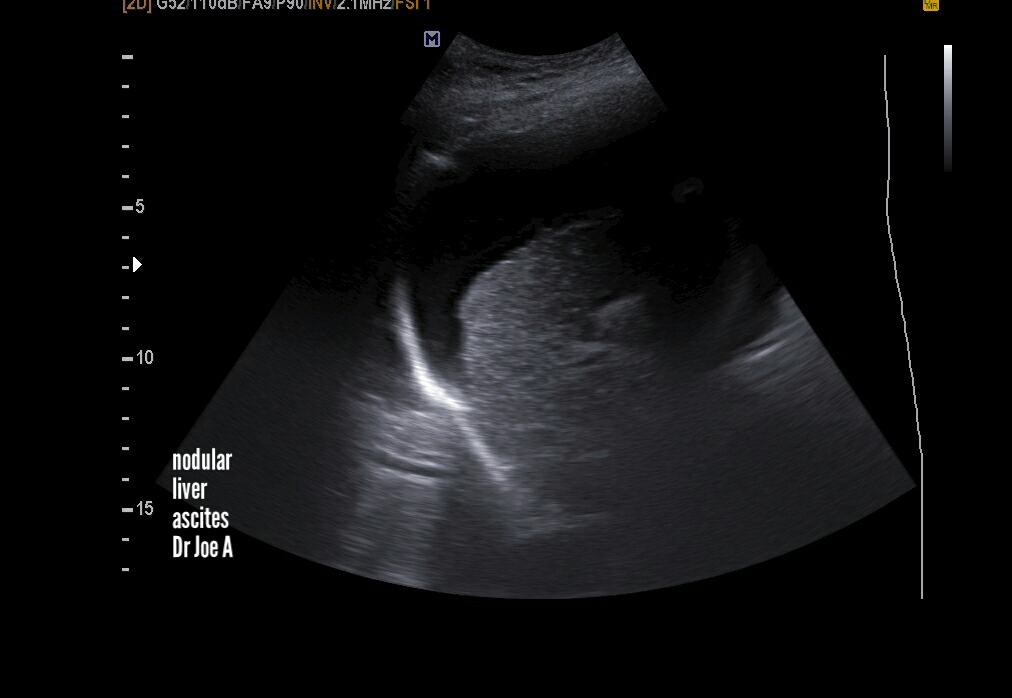
Cirrhosis-liver-ultrasound
End stage cirrhosis liver shows certain classic features seen in this case:
=Nodular shrunken liver
due to extensive fibrosis
= large ascites
Saturday, December 5, 2020
Atlas-of-breast-ultrasound
A brief textbook of sonography of the breast in Atlas format by me Dr. Joe Antony, MD, radiologist.
In this e-book, I've covered almost every known breast pathology using high resolution ultrasound images of the breast. It's in kindle ebook format.
Subserosal-fibroid-TVS
Subserosal fibroid as seen on transvaginal ultrasound scan.
See more:
See more:
Thursday, December 3, 2020
Focal-sparing-of-fatty-liver
This pattern has moderate fatty liver with focal sparing in the region of the caudate lobe.
Also a hypoechoic lesion in right lobe. Have advised CT scan.
See more:
Subscribe to:
Comments (Atom)















