This was a case of left ureteric/ ureteral calculi with resultant hydronephrosis of the left kidney. Fortunately the calculi were in the upper left ureter and hence well visible. Mid ureteral stones can often be difficult to visualize.
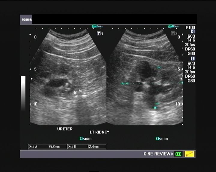
Left kidney and left ureter with stones visible in this ultrasound image:
Ultrasound image of the left ureter with 2 calculi seen in the upper part:
The right kidney shows cortical cysts with a calculus in this ultrasound image:
More on this topic? visit: http://www.ultrasound-images.com/ureteric-calculi.htm
Ultrasound video of this case is shown below:
Left kidney and left ureter with stones visible in this ultrasound image:
Ultrasound image of the left ureter with 2 calculi seen in the upper part:
The right kidney shows cortical cysts with a calculus in this ultrasound image:
More on this topic? visit: http://www.ultrasound-images.com/ureteric-calculi.htm
Ultrasound video of this case is shown below:





