Saturday, October 29, 2022

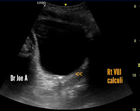
Multiple right VUJ calculi

Rt VUJ calculi, there are 2 of them. 
A poor twinkle artefact present 👆👆
Right ureteral jet of urine visualized 👆 suggesting partial or little obstruction.

Let's have a look at the right kidney and ureter. 
Right hydronephrosis and hydroureter hydroureter, both mild👆👆
Partial obstruction confirmed. 
For more on ureteral calculi disease visit:



No comments:

Post a Comment